top of page

Caso 5: Carbunclo (B. anthracis)

Paso 9/14

Muestreo

Perfecto!! y que observarías??

esporjpg.jpg
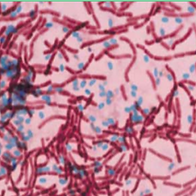
estreptobacilos.jpg
wirtz.png

Aislamiento

Identificación

caña bambu.jpg
B9781416024064500491_f44-02-978141602406
Imagen8.jpg

Final

Íconos_licencias_CC_edited.png

© 2019-2022 creado por la Dra. María Alejandra Colombatti Olivieri 

Proudly created with Wix.com

bottom of page